A szép mosoly öltöztet.

A megfelelő forma kiválasztásához fotók és lenyomatok készülnek, amik segítségül szolgálnak, hogy a fogtechnikussal közösen elkészítsük az Ön számára legmegfelelőbb mosolytervet. Legfőbb célja megközelítőleg bemutatni a tervezett végállapotot a végleges héjak, koronák, esetleges ínyplasztikai beavatkozások megkezdése előtt.

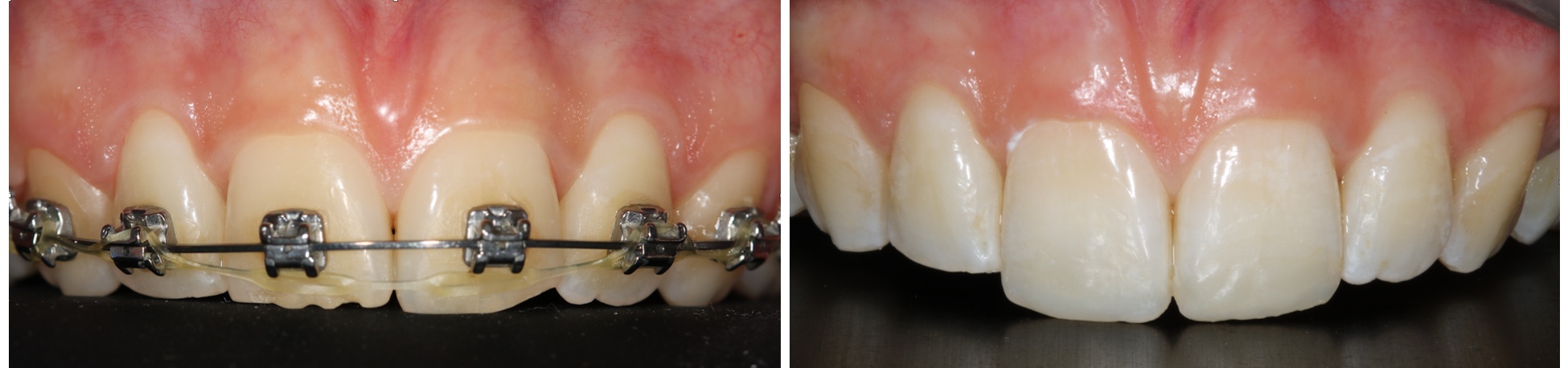
Töredezett nagymetszők, és szabálytalan fogarányok
Ínykorrekció és tömőanyaggal való élpótlás utáni végállapot